임플란트
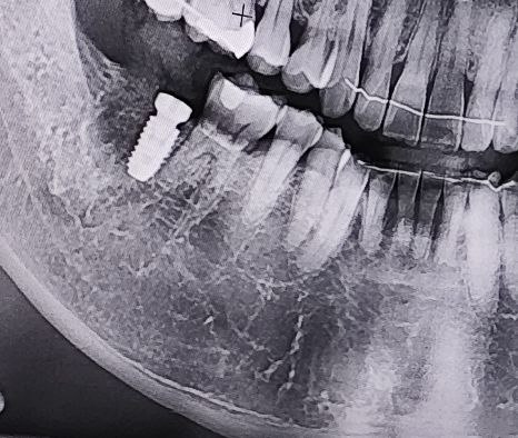
생애 첫 임플란트를 시작했다. 작년에 크라운을 씌웠던 오른쪽 어금니를 염증 때문에 발치했고 뼈가 차오르기를 기다려 오늘 나사를 박았다. 뼈가 차기는 했는데 부족해서 뼈 이식이란 것도 병행했다. 사진에 보면 뼈가 덜 차오른 것처럼 보인다. 이식한 뼈와 나사와 완전히 결합되기 까지 4개월 정도 걸린다고 한다. 오래 걸리는 일이다. 잠시 대기하는 동안 치과 의자에 앉아서 이전 환자의 차트를 얼핏 봤는데 사진에 보이는 나사만 다섯개다.
치과 기술이 이렇게 발전하기 전까지 사람들은 어떻게 살았지? 생각해보면 할머니는 남은 이가 별로 없었다. 이가 없으면 잇몸으로, 그렇게 사셨다. 이제 어쩔 수 없이 2주 동안은 꼼작없이 금주해야 한다. 이참에 금주와 다이어트를 해볼 수 있겠다.
